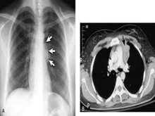
胸腺瘤
确定
胸腺瘤
胸腺是胚胎期第3(或第4)鳃弓内胚层的重要免疫源,是前肠上皮细胞的原始衍生物,随...
[查看全文]
发病部位:
胸腔
挂什么科:
典型症状:
检查项目:
血常规、胸部CT
并
发
症:
慢性后天性纯红细胞再生障碍性贫血、重症肌无力
是否传染:
不传染
是否遗传:
不遗传
易混淆病:
畸胎瘤
高发人群:
主要发生在成人,女性稍多见
症状表现
胸腺瘤的症状有哪些?
治疗方法
胸腺瘤的治疗方法有哪些?
病因
胸腺瘤的病因是什么?
饮食宜忌
胸腺瘤病人饮食应注意什么?
并发症
慢性后天性纯红细胞再生障碍性贫血、重症肌无力
化验检查
胸腺瘤需要做哪些化验检查?
有效预防
胸腺瘤应该如何预防?
胸腺瘤科普
胸腺瘤的患者应该如何治疗呢
胸腺瘤手术时应注意哪些问题
治疗胸腺瘤的方法有哪些
胸腺瘤的治疗方法有哪些呢
胸腺瘤疾病的手术切除原则有什么?
胸腺瘤的治疗方法有哪些
切除胸腺瘤后应该如何护理好呢?
胸腺瘤治疗前的注意事项
专家推荐
胸腺瘤患者经验
患上胸腺瘤要如何治疗
胸腺瘤怎样治疗?
怎样照顾心包胸腺瘤病人
心包出现胸腺瘤怎么办
最新文章
杭州治疗尿频尿急:不仅仅是前列腺问题,更是膀胱的“情绪病”
每日分享:济南诊治肝硬化比较好的专科医院“实时呈现”乙肝复查别大意!这4项指标决定你是否会走向肝硬化!
北京哪里有治疗皮肤病医院 头皮频繁发痒结痂,日常护理这样做
北京哪里有治疗皮肤病医院 荨麻疹反复复发,生活中有哪些诱因?
播报:武汉阴唇整形口碑医院排名【猜你喜欢】武汉阴唇整形术后多久能恢复
热点:武汉2026处女膜修复医院满意度排名【关注】武汉处女膜修复后多久可以恢复性生活
热门:武汉靠谱的私密漂红医院有哪【本周关注】武汉私密漂红靠谱吗
详细分析:济南诊治肝病专科医院“热搜推荐”肝功能报告单上这3个指标,决定肝硬化生死!
聚焦:武汉私密整形医院实力榜公布2026【热门话题】武汉阴唇畸形矫正后会影响性生活吗
实时:武汉阴道修复医院排名公开【榜单明细】武汉阴道修复哪里靠谱
医院动态
杭州治疗尿不尽:前列腺增生的“隐形信号”与微创对策
济南哪家肝病医院比较好?济南中医肝病医院可信吗?
北京哪里有治疗皮肤病医院 色素沉着久久不退,该怎样科学淡化
北京哪里有治疗皮肤病医院 口周皮肤反复发炎,和饮食习惯有关吗?
郑州新阳光男科医院:规范服务模式,提升男科就诊体验
郑州新阳光医院:细节筑防线,隐私护安心
郑州新阳光医院:尊重患者隐私,打造私密舒适的就诊环境
公布:武汉阴道紧缩专业的医院是哪家【实时推荐】武汉盆底肌松弛怎么办
公开报道:2026武汉阴道紧缩医院热门推荐【更新实时】3D生物束带紧缩术可以维持多长时间
郑州新阳光男科医院:全程一对一,看病没烦恼
经验分享
更多经验分享>>