开放性气胸
确定
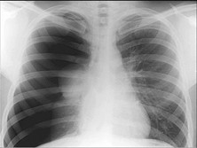
开放性气胸
开放式气胸是指导气胸漏气通道持续开放,气体随呼吸进出胸膜腔的气胸。大多数情况下,...
[查看全文]
发病部位:
胸腔
挂什么科:
典型症状:
检查项目:
胸部B超、胸部CT、X线平片
并
发
症:
呼吸衰竭、脓气胸、循环衰竭、胸腔积液、血气胸、心力衰竭、纵隔气肿
是否传染:
不传染
是否遗传:
不遗传
易混淆病:
高发人群:
所有人群
症状表现
开放性气胸的症状有哪些?
治疗方法
开放性气胸的治疗方法有哪些?
病因
开放性气胸的病因是什么?
饮食宜忌
开放性气胸病人饮食应注意什么?
并发症
呼吸衰竭、脓气胸、循环衰竭、胸腔积液、血气胸、心力衰竭、纵隔气肿
化验检查
开放性气胸需要做哪些化验检查?
有效预防
开放性气胸应该如何预防?
开放性气胸科普
开放性气胸治疗前的注意事项
开放性气胸的发病原因及治疗注意事项有哪些?
开放性气胸的急救原则
开放性气胸的西医治疗方法
专家推荐
最新文章
限量榜单:苏州能治疗银屑病的医院"公开前三名"儿童银屑病的常见类型
健康专题:济南治肝病好的医院“热榜发布”肝不好的人注意,警惕这些肝硬化信号!早知道早救命!
北京治疗皮肤的医院 玫瑰痤疮全面科普:告别面部泛红困扰
北京治疗皮肤的医院 甲部皮肤问题:科学养护,守护指甲健康
杭州治疗阴茎短小:从隐匿阴茎到延长术,科学认识“男”言之隐
排名:武汉阴唇矫正医院排行【公开发表】武汉阴唇不好看怎么办
热点关注:武汉2026阴道修复医院热门榜TOP3【女性科普】武汉女性阴道松弛的主要原因有哪些
肝病推送!济南治疗乙肝医院排行榜“公开宣布”肝硬化患者寿命能延长吗?这5个指标好转,医生都说有希望!
重点报道:苏州好的皮肤科医院排名-轻度银屑病好治吗
南京哪家医院做口腔科专业-南京比较好的口腔科医院前五排名?
医院动态
荨麻疹需要忌口吗
济南中医肝病医院怎么样?正规吗?专家团队如何?
郑州新阳光男科医院 2026年男科隐私保护指南
2026郑州男科医院哪家强 中原区新阳光医院专业守护
郑州新阳光医院男科检查,隐私保护让就医更安心
北京治疗皮肤的医院 老年性皮肤退化:正确护理延缓老化
北京治疗皮肤的医院 间擦疹高发部位解析:保持干燥是关键
上海治皮肤病的医院在哪:看色斑去上海哪家医院
上海有皮肤病治疗医院吗:上海看色斑医院有那些家
上海那家医院能治皮肤病:上海治疗色斑哪家医院好
经验分享
更多经验分享>>