僵鉧
确定
僵鉧
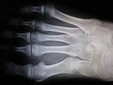
这是非常常见的,通常是由于第一跖骨位置异引起的。偶尔的创伤也是一个原因,因为踝关...
[查看全文]
发病部位:
手/足
挂什么科:
典型症状:
检查项目:
X线平片
并
发
症:
关节僵硬
是否传染:
不传染
是否遗传:
不遗传
易混淆病:
痛风性关节炎、跖趾关节脱位、跖趾关节结核
高发人群:
所有人群
症状表现
僵鉧的症状有哪些?
治疗方法
僵鉧的治疗方法有哪些?
病因
僵鉧的病因是什么?
饮食宜忌
僵鉧病人饮食应注意什么?
并发症
关节僵硬
化验检查
僵鉧需要做哪些化验检查?
有效预防
僵鉧应该如何预防?
僵鉧科普
僵鉧的治疗方法
僵鉧的治疗方法
专家推荐
最新文章
排名公布:济南肝病治疗“医院查看”身上这3处疼,可能是肝硬化的警示,别大意!
“排名统计”苏州看银屑病的医院排名-点滴型银屑病会发展成老牛皮吗
上海哪家医院治皮肤病好:上海哪家医院看皮炎比较好
上海好的看皮肤病的医院:上海哪家医院看皮炎比较好
上海那个皮肤科医院好一些:上海治皮炎的医院哪里好
上海哪里医院皮肤科比较好:上海治疗皮炎好医院有哪些
上海看皮肤病去哪里的医院:上海皮炎医院哪个好一些
上海那家医院治疗皮肤病好:上海治皮炎好的医院是哪家
上海哪里有皮肤科医院:上海皮炎治疗好的医院是哪家
上海的皮肤科医院在哪里:上海皮炎治疗医院在哪
医院动态
异位性皮炎是哪个部位
济南看肝病医院哪家好?很多人推荐济南中医肝病医院
杭州治疗早泄多少钱:揭秘费用背后的价值逻辑
播报:武汉阴道紧缩哪里做好【最多关注】武汉产后盆底肌松弛怎么办
聚焦:武汉做私密紧缩术推荐哪里【女性关注】武汉女性下面感觉松怎么办
郑州治疗阳痿的男科医院,郑州哪的男科医院看阳痿好?
郑州治疗前列腺炎的男科医院“热门榜单”郑州正规男科医院!
郑州男科医院推荐-口碑推荐-郑州专业男科医院排名!
北京哪里有治疗皮肤病医院 眼周长小颗粒,大多不是脂肪粒
北京哪里有治疗皮肤病医院 嘴角反复烂,不是上火那么简单
经验分享
更多经验分享>>