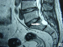
骶管囊肿
确定
骶管囊肿
骶管囊肿属于硬脊膜囊肿,起源于脊髓膜,因此使用椎管内脊膜囊肿一般来说,这种疾病。...
[查看全文]
发病部位:
腰骶部
挂什么科:
骨科
典型症状:
检查项目:
脊柱CT、脊柱MRI、X线平片
并
发
症:
神经根压迫症、骨质破坏
是否传染:
不传染
是否遗传:
不遗传
易混淆病:
椎管内肿瘤、腰椎间盘突出症
高发人群:
有家族遗传史的患者多见
症状表现
骶管囊肿的症状有哪些?
治疗方法
骶管囊肿的治疗方法有哪些?
病因
骶管囊肿的病因是什么?
饮食宜忌
骶管囊肿病人饮食应注意什么?
并发症
神经根压迫症、骨质破坏
化验检查
骶管囊肿需要做哪些化验检查?
有效预防
骶管囊肿应该如何预防?
骶管囊肿科普
骶管囊肿有哪些治疗方式?
骶管囊肿的西医治疗方法
专家推荐
最新文章
关注:武汉处女膜修复哪家好【持续更新】武汉处女膜如果破裂会怎么样
本地:武汉做收紧阴道推荐哪个医院【本周推荐】武汉缩阴手术后吃什么消炎药
TOP前:苏州看皮肤病医院排名-今日发布-免疫力低会得牛皮癣吗
不少人推荐济南中医肝病医院,专家团队如何?可以信赖吗?
专解难题!济南治疗肝病专业医院“速看”肝癌来临前一年,身体可能出现这4个异常症状!务必提高警惕!
杭州阴茎硬结症:抚平“弯曲”伤痛,重获直线人生
上海治疗皮肤病专科医院:上海哪家看疤痕医院比较好
上海一些看皮肤病的医院:上海治疤痕哪家医院专业
上海哪里医院能治皮肤病:上海哪家治疗疤痕的医院好
上海治皮肤病哪家医院专业:上海哪里治疤痕的医院好
医院动态
关注:武汉做私密哪家医院好【最多提问】武汉女性产后漏尿怎么办
实时:武汉华美做私密整形怎么样【女性关注】武汉做阴蒂整形会影响美观吗
神经性皮炎是真菌感染吗
杭州治疗阴茎珍珠状丘疹:分清“生理变异”与“性病”,拒绝盲目治疗
郑州男科医院看早泄哪家好-郑州治疗早泄专业靠谱的医院!
郑州割包皮-名医坐诊-郑州看包皮过长男科医院哪家正规!
郑州好的前列腺男科医院,郑州男科医院好不好?
热点:武汉产后紧缩哪里做靠谱【女性问题】武汉产后漏尿怎么办
发布:武汉做产后修复推荐哪里【本地关注】武汉女性产后松弛如何修复
北京哪里有治疗皮肤病医院 男生后背痘,护理和脸上不一样
经验分享
更多经验分享>>