疣状癌
确定
疣状癌
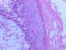
1948年疣状癌Ackeman首先,该病是一种高角质化鳞状细胞癌。该病的诊断取决...
[查看全文]
发病部位:
皮肤
挂什么科:
典型症状:
检查项目:
活体组织病理检查(活检)
并
发
症:
呼吸困难、溃疡、感染
是否传染:
不传染
是否遗传:
不遗传
易混淆病:
皮脂腺囊肿、疣
高发人群:
所有人群
症状表现
疣状癌的症状有哪些?
治疗方法
疣状癌的治疗方法有哪些?
病因
疣状癌的病因是什么?
饮食宜忌
疣状癌病人饮食应注意什么?
并发症
呼吸困难、溃疡、感染
化验检查
疣状癌需要做哪些化验检查?
有效预防
疣状癌应该如何预防?
疣状癌科普
疣状癌治疗前的注意事项
疣状癌的治疗方法
专家推荐
疣状癌患者经验
外阴疣状癌吃什么好
哪些症状提示外阴疣状癌呢
临床上的疣状癌该怎么治疗
疣状癌晚期还能治疗吗
有哪些方法可以治疗疣状癌?
疣状癌应该怎么预防和治疗?
疣状癌的有效预防方法有哪些
早期口腔疣状癌的治疗方法
疣状癌术后如何调理护理
最新文章
热搜:武汉靠谱的私密整形医院【实时发布】武汉女性做一次爱下面多久才能恢复
关注:武汉正规的私密整形医院是哪家【本地热点】武汉女性做阴唇肥大了多久可以同房
发布:武汉专业私密整形医院【女性关注】武汉女性做阴道紧缩术是去哪种医院好
公开一览:济南治疗肝病医院哪家好“透露”“查出肝硬化,我还能活多久?”别慌!照着这4点做,延长寿命真的有盼头!
“排名统计”苏州看银屑病的医院排名-牛皮癣可以吃复合维生素吗
从“心”出发:心理因素对男性功能的影响及干预
在上海皮肤什么医院好:上海看皮炎医院哪里好
上海哪个医院皮肤比较好:上海治疗皮炎医院有哪些
上海看皮肤那家医院好:看皮炎上海哪个医院好
上海哪个皮肤医院好一点:上海哪家医院治皮炎好
医院动态
关注:武汉看私密整形推荐哪里【健康科普】武汉怎么淡化女性外阴的黑
解答:武汉看私密整形好点的医院在哪【热点问题】武汉做完紧缩术后解不出大便怎么办
阳光性皮炎是怎么回事
不少人推荐济南中医肝病医院,怎么样?可信吗?
郑州割包皮医院推荐-郑州新阳光男科医院收费透明!
郑州前列腺医院推荐:郑州新阳光医院,专业诊疗!
郑州男科医院推荐,郑州新阳光男科医院-患者口碑!
杭州男科就医指南:如何避开“黑诊所”,找到靠谱的正规医院?
本周:武汉看私密整形推荐哪家医院【女性健康】武汉女性阴唇左侧肥大怎么办
说明:武汉看私密整形好的医院【专业解答】武汉女性阴道口撕裂怎么办
经验分享
更多经验分享>>