先天性肺动静脉...
确定
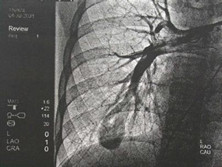
先天性肺动静脉瘘
(又名Rendu-Osl、动静脉瘤、动静脉瘘、动静脉血管瘤)
先天性肺动-静脉瘘(PAVF)又称动静脉瘤,是一种常见的先天性发育畸形,胚胎期肺...
[查看全文]
发病部位:
肺及肺系
挂什么科:
典型症状:
检查项目:
心电图
并
发
症:
脑脓肿、休克、胸痛、血气胸
是否传染:
不传染
是否遗传:
不遗传
易混淆病:
肺血管畸形
高发人群:
所有人群
症状表现
该病的症状有哪些?
治疗方法
该病的治疗方法有哪些?
病因
该病的病因是什么?
饮食宜忌
该病病人饮食应注意什么?
并发症
脑脓肿、休克、胸痛、血气胸
化验检查
该病需要做哪些化验检查?
有效预防
该病应该如何预防?
先天性肺动静脉瘘科普
先天性肺动静脉瘘治疗前的注意事项
先天性肺动静脉瘘的治疗方法
专家推荐
最新文章
5月推送!济南专治肝癌医院“排名靠前”济南中医肝病医院怎么样?40岁男子咳成晚期肝癌!这5个异常一出现,马上查肝!
北京哪里有治疗皮肤病医院 眼尾肌肤粗糙长小疹,专属温和护理方案
北京哪里有治疗皮肤病医院 唇周肌肤脆弱易受损,日常防护别大意
杭州看男科去哪里?周末无假日门诊,上班族的健康“加油站”
公开:武汉看私密整形哪里靠谱【标榜】武汉女性阴唇形状能改变吗
解答:武汉靠谱的私密医院在哪【实时发布】武汉女性阴道可以用什么方法修复
医疗专栏:济南检查肝癌定点医院-排名总榜-肝癌不是突然来的!先避开这几个明确的危险因素!
北京哪里有治疗皮肤病医院 皮肤结痂自然脱落,远比外力撕掉更好
北京哪里有治疗皮肤病医院 误区:做好防晒就不会长出任何色斑
上海治皮肤病哪个医院较好:上海哪个医院看灰指甲好些
医院动态
不少推荐济南中医肝病医院,可信吗?实力如何?
北京哪里有治疗皮肤病医院 鼻翼两侧油脂堆积,科学清理不损伤毛孔
北京哪里有治疗皮肤病医院 颧骨肌肤偏薄易泛红,日常养护以维稳为主
郑州新阳光男科医院:公开透明收费,男科诊疗无顾虑
男科问题别拖延,郑州新阳光男科,专业诊疗更放心
2026关注:郑州新阳光男科医院,男性健康守护新选择
上海治疗皮肤病医院排行:上海看青春痘什么医院好
上海好的皮肤病医院排名:上海治疗青春痘医院在哪里
上海哪家医院看皮肤病好:上海青春痘哪里医院治疗好
上海看皮肤病到哪个医院:上海青春痘医院哪家好一些
经验分享
更多经验分享>>