矽肺病(矽肺)
确定
矽肺病(矽肺)
(又名硅肺病、矽肺、矽肺病)
硅肺病是一种尘肺病,是一种严重的职业病。游离二氧化硅粉尘通过呼吸道在人体肺泡上积...
[查看全文]
发病部位:
肺及肺系
挂什么科:
呼吸内科
典型症状:
检查项目:
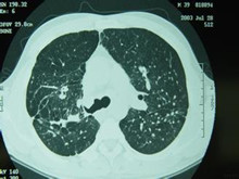
胸部CT
并
发
症:
肺部感染、肺结核、慢性肺源性心脏病、自发性气胸
是否传染:
不传染
是否遗传:
不遗传
易混淆病:
肺结节病
高发人群:
粉尘作业者常见
症状表现
矽肺病(矽肺)的症状有哪些?
治疗方法
矽肺病(矽肺)的治疗方法有哪些?
病因
矽肺病(矽肺)的病因是什么?
饮食宜忌
矽肺病(矽肺)病人饮食应注意什么?
并发症
肺部感染、肺结核、慢性肺源性心脏病、自发性气胸
化验检查
矽肺病(矽肺)需要做哪些化验检查?
有效预防
矽肺病(矽肺)应该如何预防?
矽肺病(矽肺)科普
矽肺病(矽肺)的中医辩证治疗
矽肺病(矽肺)西医治疗的常规方法
专家推荐
最新文章
排名公布:济南肝病治疗“医院查看”身上这3处疼,可能是肝硬化的警示,别大意!
“排名统计”苏州看银屑病的医院排名-点滴型银屑病会发展成老牛皮吗
上海哪家医院治皮肤病好:上海哪家医院看皮炎比较好
上海好的看皮肤病的医院:上海哪家医院看皮炎比较好
上海那个皮肤科医院好一些:上海治皮炎的医院哪里好
上海哪里医院皮肤科比较好:上海治疗皮炎好医院有哪些
上海看皮肤病去哪里的医院:上海皮炎医院哪个好一些
上海那家医院治疗皮肤病好:上海治皮炎好的医院是哪家
上海哪里有皮肤科医院:上海皮炎治疗好的医院是哪家
上海的皮肤科医院在哪里:上海皮炎治疗医院在哪
医院动态
异位性皮炎是哪个部位
济南看肝病医院哪家好?很多人推荐济南中医肝病医院
杭州治疗早泄多少钱:揭秘费用背后的价值逻辑
播报:武汉阴道紧缩哪里做好【最多关注】武汉产后盆底肌松弛怎么办
聚焦:武汉做私密紧缩术推荐哪里【女性关注】武汉女性下面感觉松怎么办
郑州治疗阳痿的男科医院,郑州哪的男科医院看阳痿好?
郑州治疗前列腺炎的男科医院“热门榜单”郑州正规男科医院!
郑州男科医院推荐-口碑推荐-郑州专业男科医院排名!
北京哪里有治疗皮肤病医院 眼周长小颗粒,大多不是脂肪粒
北京哪里有治疗皮肤病医院 嘴角反复烂,不是上火那么简单
经验分享
更多经验分享>>