史密斯骨折
确定
史密斯骨折
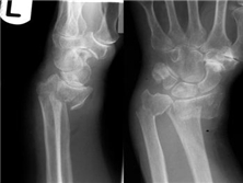
史密斯骨折好发部位与柯莱斯骨折一样,但所致畸形与柯莱斯骨折相反,其远端向掌侧移位...
[查看全文]
发病部位:
上肢
挂什么科:
典型症状:
检查项目:
X线平片
并
发
症:
关节僵硬、肌肉萎缩
是否传染:
不传染
是否遗传:
不遗传
易混淆病:
巴顿骨折、盖氏骨折
高发人群:
所有人群
症状表现
史密斯骨折的症状有哪些?
治疗方法
史密斯骨折的治疗方法有哪些?
病因
史密斯骨折的病因是什么?
饮食宜忌
史密斯骨折病人饮食应注意什么?
并发症
关节僵硬、肌肉萎缩
化验检查
史密斯骨折需要做哪些化验检查?
有效预防
史密斯骨折应该如何预防?
史密斯骨折科普
史密斯骨折治疗前的注意事项
史密斯骨折的治疗方法
专家推荐
最新文章
杭州治疗尿频尿急:不仅仅是前列腺问题,更是膀胱的“情绪病”
每日分享:济南诊治肝硬化比较好的专科医院“实时呈现”乙肝复查别大意!这4项指标决定你是否会走向肝硬化!
北京哪里有治疗皮肤病医院 头皮频繁发痒结痂,日常护理这样做
北京哪里有治疗皮肤病医院 荨麻疹反复复发,生活中有哪些诱因?
播报:武汉阴唇整形口碑医院排名【猜你喜欢】武汉阴唇整形术后多久能恢复
热点:武汉2026处女膜修复医院满意度排名【关注】武汉处女膜修复后多久可以恢复性生活
热门:武汉靠谱的私密漂红医院有哪【本周关注】武汉私密漂红靠谱吗
详细分析:济南诊治肝病专科医院“热搜推荐”肝功能报告单上这3个指标,决定肝硬化生死!
聚焦:武汉私密整形医院实力榜公布2026【热门话题】武汉阴唇畸形矫正后会影响性生活吗
实时:武汉阴道修复医院排名公开【榜单明细】武汉阴道修复哪里靠谱
医院动态
杭州治疗尿不尽:前列腺增生的“隐形信号”与微创对策
济南哪家肝病医院比较好?济南中医肝病医院可信吗?
北京哪里有治疗皮肤病医院 色素沉着久久不退,该怎样科学淡化
北京哪里有治疗皮肤病医院 口周皮肤反复发炎,和饮食习惯有关吗?
郑州新阳光男科医院:规范服务模式,提升男科就诊体验
郑州新阳光医院:细节筑防线,隐私护安心
郑州新阳光医院:尊重患者隐私,打造私密舒适的就诊环境
公布:武汉阴道紧缩专业的医院是哪家【实时推荐】武汉盆底肌松弛怎么办
公开报道:2026武汉阴道紧缩医院热门推荐【更新实时】3D生物束带紧缩术可以维持多长时间
郑州新阳光男科医院:全程一对一,看病没烦恼
经验分享
更多经验分享>>