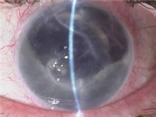
大泡性角膜病变
确定
大泡性角膜病变
角膜上皮层形成水泡的状态称为大泡性角膜病变,过去称为大泡性角膜炎。事实上,它不是...
[查看全文]
发病部位:
眼
挂什么科:
眼科
典型症状:
检查项目:
眼部B超
并
发
症:
视力障碍
是否传染:
不传染
是否遗传:
不遗传
易混淆病:
带状角膜病变、角膜炎、角膜脓肿
高发人群:
所有人群
症状表现
大泡性角膜病变的症状有哪些?
治疗方法
大泡性角膜病变的治疗方法有哪些?
病因
大泡性角膜病变的病因是什么?
饮食宜忌
大泡性角膜病变病人饮食应注意什么?
并发症
视力障碍
化验检查
大泡性角膜病变需要做哪些化验检查?
有效预防
大泡性角膜病变应该如何预防?
大泡性角膜病变科普
大泡性角膜病变的治疗方法
专家推荐
最新文章
公开报道:武汉做私密整形推荐哪个医院【话题关注】武汉私密脱毛怎么样
郑州新阳光男科医院:2026年中原区男性健康指南
郑州新阳光男科专科,专业守护男性健康
2026郑州男科医院:新阳光医院隐私保护更安心
北京哪里有治疗皮肤病医院 孕期肚皮痒,别乱抓乱用药
北京哪里有治疗皮肤病医院 后背褐色斑点,搓不掉?小心是花斑癣!
杭州治疗阴茎硬结症:抚平“弯曲”伤痛,重获直线人生
重点报道:苏州好的皮肤科医院排名-牛皮癣分为哪几种类型的
每日分享:济南诊治肝硬化比较好的专科医院“实时呈现”肝硬化不可怕!只要不出现这4种情况,肝脏或能慢慢好转!
实时:武汉阴唇整形哪家好【关注热门】武汉做阴唇美型怎么样
医院动态
北京哪里有治疗皮肤病医院 男生后背痘,护理和脸上不一样
北京哪里有治疗皮肤病医院 哺乳期皮肤痒,用药一定要谨慎
杭州治疗精索静脉曲张:解除“蛋蛋”的隐痛,守护男性健康
荨麻疹分为哪些类型
郑州早泄男科医院,郑州收费合理的男科医院是哪家?
强力公开:郑州看男科的医院,郑州比较好的男科医院公开
今日热点:郑州男科医院有哪些,郑州治疗阳痿的男科医院哪家好?
山东看肝好的医院推荐:济南中医肝病医院如何?
上海看皮肤病医院哪个好:上海治疗毛囊炎好的医院
看皮肤病上海那个医院好:上海看毛囊炎哪个医院好
经验分享
更多经验分享>>